27 milhões nunca foram ao dentista

Publicado em

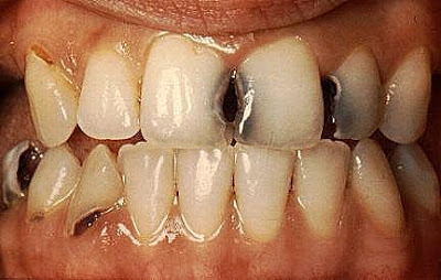
No Dia Nacional do Cirurgião-Dentista e da Saúde Bucal, comemorado nesta quinta, um dado alarmante foi divulgado pela Associação Brasileira de Odontologia (ABO): 27 milhões de brasileiros nunca foram a um dentista. O número corresponde a cerca de 14% dos 194 milhões de habitantes. 
De acordo com o Ministério da Saúde, o Brasil tem 22.139 equipes de saúde bucal em atuação e concentra o maior número de dentistas do mundo, mas a má distribuição geográfica é o problema. Em um simples exame o dentista pode detectar o início de problemas que vão de uma simples cárie até algo mais sério, como o câncer de boca. Esse tipo de câncer está aumentando de forma absurda. Em 2012, cerca de 7 mil pessoas foram diagnosticadas com a doença. Para 2013, vai chegar a 14 mil. 
O recomendado é a ida ao dentista de seis em seis meses e que se escove os dentes de três a quatro vezes por dia.

DEIXE UMA RESPOSTA

Por favor digite seu comentário!
Por favor, digite seu nome aqui

184.758

132,247FãsCurtir
72,091SeguidoresSeguir

Notícias Recentes

Supermercado é alvo de furto de carnes pelo segundo dia consecutivo

Santa Maria, RS - Um supermercado de Santa Maria voltou a registrar furto de...

Adolescente mata idosa a facadas em Osório

Osório, RS - Elzira Cabral, 81, foi morta por uma adolescente de 14 anos...

Ator José Dumont é preso para cumprir pena por 3stupro

Rio de Janeiro - RJ - A polícia cumpriu na noite de terça-feira (3)...

Ex é preso por descumprir medida protetiva em Alegrete

Alegrete – RS – (Região de Uruguaiana) Um sujeito de 63 anos foi preso...

Leia Também

Supermercado é alvo de furto de carnes pelo segundo dia consecutivo

Santa Maria, RS - Um supermercado de Santa Maria voltou a registrar furto de...

Adolescente mata idosa a facadas em Osório

Osório, RS - Elzira Cabral, 81, foi morta por uma adolescente de 14 anos...

Ator José Dumont é preso para cumprir pena por 3stupro

Rio de Janeiro - RJ - A polícia cumpriu na noite de terça-feira (3)...