No último sábado (21), pela manhã, na rua Hermelina Nessi, bairro Monsenhor Assis, uma gatinha foi atropelada, e o motorista não prestou socorro.
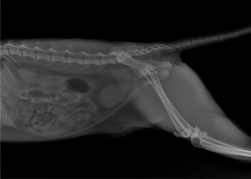
Infelizmente, ela sofreu uma fratura no quadril e, desde então, não consegue se locomover ou apoiar os membros posteriores, provavelmente sentindo muitas dores.
Atualmente, ela está hospitalizada no Hospital Veterinário Benevet, onde recebe os cuidados necessários. No entanto, para que ela volte a andar, é indispensável realizar uma cirurgia. O problema é que os custos do procedimento e do tratamento são muito altos, e, neste momento, os tutores não têm condições de arcar com o valor.

Por isso, foi criada uma vaquinha. Quem puder contribuir, mesmo que com um valor pequeno, estará ajudando a salvar a vida dela. AJUDE AQUI
LEIA TAMBÉM: Além da Cultura, Santiago terá também secretaria de Trânsito
Acompanhe o NP nas redes sociais:
- Instagram: npexpresso
- Facebook: NPExpresso



